
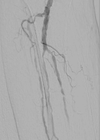
Calcified peripheral arterial disease has met its match in the new Shockwave E8 IVL catheter – our longest catheter yet. Designed for versatility, Shockwave E8’s sonic pressure waves provide a low-risk option that effectively cracks calcium where it counts, simplifying complex procedures and helping restore peripheral blood flow.
| Catalog Number | Balloon Diameter (mm) | Balloon Length (mm) | Sheath Compatibility (Fr) | Working Length (cm) | Pulses/Cycles | Cycles | Pulses (max) | Balloon Crossing Profile |
| E8IVL025080 | 2.5 | 80 | 5 | 150 | 40 | 10 | 400 | .050 |
| E8IVL030080 | 3.0 | 80 | 5 | 150 | 40 | 10 | 400 | .051 |
| E8IVL035080 | 3.5 | 80 | 5 | 150 | 40 | 10 | 400 | .053 |
| E8IVL040080 | 4.0 | 80 | 5 | 150 | 40 | 10 | 400 | .055 |
| E8IVL050080 | 5.0 | 80 | 6 | 150 | 40 | 10 | 400 | .061 |
| E8IVL060080 | 6.0 | 80 | 6 | 150 | 40 | 10 | 400 | .066 |
Dr. Foteh is a paid consultant of Shockwave Medical
The largest prospective real-world evidence for the treatment of complex, heavily calcified PAD
This section presents key statistical information with numbers and descriptions.