83-year-old male patient classified as Rutherford VI, presenting with ischemic ulcers on the first and second toes, along with the presence of gangrene in the fifth toe and experiencing permanent rest pain. He has a medical history of stage IV renal insufficiency, insulin-dependent diabetes, and arterial hypertension.

 

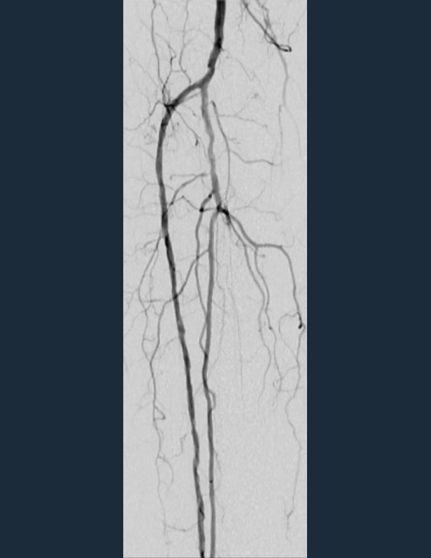
  • Baseline Angio showing diffuse Anterior Tibial disease
    Baseline Angio showing diffuse Anterior Tibial disease.
  • AP view shows no plantar arch or flow to metatarsals arteries and no pedal pulse present
    AP view shows no plantar arch or flow to metatarsal arteries and no pedal pulse present.
  • angio showing 3rd cycle with Shockwave E8
    Patient was treated with 3.5 mm Shockwave E8 catheter. The image shows 3rd cycle with Shockwave E8.
  • angio during shockwave e8 treatment
    400 pulses of Shockwave E8 delivered along ATA and < 10% residual stenosis across the lesion length
  • Final angio shows direct flow to metatarsal arteries
    Final angio shows direct flow to metatarsal arteries and palpable pulses with resolution of rest pain. 5th toe amputation was completed post procedure with triphasic signals in foot following DUS assessment

 


Case courtesy of Dr. Arne Schwindt– St. Franziskus Hospital, Münster.

Dr. Arne Schwindt is a paid consultant of Shockwave Medical.